Kiểm soát và ngăn ngừa bệnh tim mạch ở chó, Dấu hiệu & cách điều trị
KIỂM SOÁT VÀ NGĂN NGỪA BỆNH TIM MẠCH TRÊN CHÓ – ĐỪNG ĐỂ PHÁT HIỆN QUÁ MUỘN
Bệnh tim mạch ở chó là một trong những vấn đề sức khỏe nguy hiểm nhưng thường bị phát hiện muộn do triệu chứng ban đầu không rõ ràng. Khi tim không còn bơm máu hiệu quả, các cơ quan quan trọng như phổi, gan, thận và não sẽ bị thiếu oxy, dẫn đến nhiều biến chứng nghiêm trọng.

Việc kiểm tra định kỳ và phát hiện sớm bệnh tim giúp kéo dài tuổi thọ và cải thiện chất lượng sống cho thú cưng.
1. Bệnh tim mạch ở chó là gì?
Bệnh tim mạch là tình trạng tim hoạt động suy giảm chức năng bơm máu, gây ứ trệ tuần hoàn và suy giảm oxy cung cấp cho cơ thể.
Các bệnh tim thường gặp ở chó:
-
Hở van tim (đặc biệt là van hai lá), phổ biến ở chó nhỏ và chó lớn tuổi
-
Bệnh cơ tim giãn hoặc cơ tim phì đại
-
Tim to, suy tim sung huyết
-
Cao huyết áp
-
Giun tim do ký sinh trùng Dirofilaria immitis gây ra

2. Những chú chó có nguy cơ cao
Những nhóm chó sau đây cần được theo dõi tim mạch định kỳ:
-
Chó trên 7 tuổi
-
Chó mũi ngắn như Pug, Bulldog, French Bulldog
-
Giống chó nhỏ như Poodle, Chihuahua, Pomeranian, Yorkshire Terrier
-
Chó thừa cân hoặc béo phì
-
Chó ít vận động
-
Chó có tiền sử bệnh hô hấp, suy thận hoặc viêm tụy
3. Dấu hiệu cảnh báo sớm bệnh tim ở chó
Nhiều dấu hiệu của bệnh tim dễ bị nhầm lẫn với biểu hiện tuổi già. Chủ nuôi cần đặc biệt lưu ý khi thấy:
-
Ho khan kéo dài, nhất là về đêm hoặc khi vận động
-
Thở nhanh, thở gấp hoặc thở bằng miệng
-
Dễ mệt, giảm khả năng vận động
-
Bụng to bất thường do tràn dịch
-
Ngất xỉu, yếu chân sau
-
Ăn kém, sụt cân
-
Niêm mạc nhợt nhạt hoặc tím tái
Nếu các triệu chứng này kéo dài, cần đưa chó đi khám tim mạch sớm để được chẩn đoán chính xác.
4. Cách kiểm soát bệnh tim mạch trên chó
4.1 Khám tim mạch định kỳ
Các bước kiểm tra bao gồm:
-
Nghe tim và phổi
-
Đo huyết áp
-
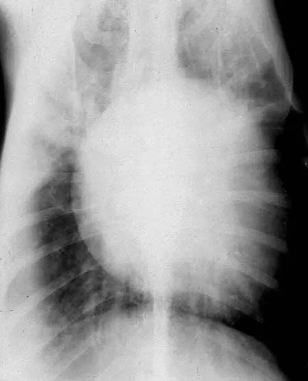
Siêu âm tim
-
Chụp X-quang ngực
-
Xét nghiệm máu đánh giá chức năng gan và thận
Tần suất kiểm tra khuyến nghị:
-
Chó khỏe mạnh trên 7 tuổi: 6–12 tháng/lần
-
Chó đã mắc bệnh tim: 1–3 tháng/lần theo chỉ định bác sĩ
4.2 Dùng thuốc đúng phác đồ
Điều trị tim mạch thường bao gồm:
-
Thuốc trợ tim
-
Thuốc giãn mạch
-
Thuốc lợi tiểu
-
Thuốc kiểm soát huyết áp
Không tự ý thay đổi hoặc ngừng thuốc nếu chưa có hướng dẫn của bác sĩ thú y.
4.3 Chế độ dinh dưỡng cho chó bệnh tim
Nguyên tắc dinh dưỡng:
-
Giảm muối trong khẩu phần
-
Thức ăn dễ tiêu, ít chất béo
-
Bổ sung Omega-3 và Taurine theo chỉ định
-
Chia nhỏ bữa ăn trong ngày
Hạn chế thức ăn mặn, đồ ăn của người và nội tạng nhiều mỡ.

4.4 Vận động hợp lý
-
Duy trì đi dạo nhẹ nhàng, đều đặn
-
Tránh vận động quá sức
-
Hạn chế hoạt động khi thời tiết quá nóng
5. Ngăn ngừa bệnh tim mạch – Chủ động bảo vệ thú cưng
Các biện pháp phòng ngừa hiệu quả:
-
Khám sức khỏe định kỳ
-
Kiểm soát cân nặng
-
Tẩy giun tim hàng tháng
-
Tiêm phòng đầy đủ
-
Điều trị sớm các bệnh nền
Phòng bệnh luôn an toàn và ít tốn kém hơn so với điều trị biến chứng.
Thông điệp dành cho chủ nuôi
Bệnh tim không thể chữa khỏi hoàn toàn, nhưng có thể kiểm soát tốt nếu phát hiện sớm. Việc theo dõi sát sao các dấu hiệu bất thường và kiểm tra định kỳ sẽ giúp thú cưng sống khỏe và lâu dài hơn.
Thông tin liên hệ
PHÒNG KHÁM & PHỤ KIỆN CHÓ MÈO CITYVET
Địa chỉ: 61C Hùng Vương, Phường 7, TP. Bến Tre
Điện thoại: 0275.382.3170
Hotline/Zalo: 0901.073.093 – 093.9686.854
Website: www.cityvet.vn
Liên hệ để được tư vấn và kiểm tra tim mạch cho thú cưng kịp thời.
Bài viết liên quan
Mèo bị Herpes (FHV-1)
01.03.2026
Dấu hiệu chó mèo bị sỏi bàng quang
01.03.2026
BỆNH VIÊM PHỔI TRÊN CHÓ
01.03.2026
Bệnh gan nhiễm mỡ ở mèo
01.03.2026
6 dấu hiệu mèo bị tắt búi lông
01.03.2026
VIÊM TỤY Ở CHÓ MÈO
01.03.2026
VIÊM GAN TRÊN CHÓ
01.03.2026